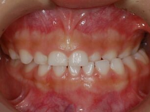
上顎前突

上顎前突とは、上顎が前方に突き出ており、下顎よりも前に出ている状態を指します。口を閉じたときに上顎の前歯が目立ちます。
下顎が小さいため、咀嚼力が弱く食べ物を噛み切ることが難しい場合があります。また、発音に支障をきたすことがあるため、話し方にも影響を及ぼすことがあります。さらに、口唇が前突しているため、顔の印象が強調されることがあります。
治療を受けずに放置すると、上顎の前歯が突出しているため前歯が乾いてしまうことで、虫歯や歯周病のリスクが高まります。
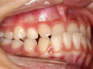
反対咬合

反対咬合とは、下の歯が前に出ていて上の歯と合わない状態を指します。下の歯が前に出ているために、咬む力が上の歯に集中し、歯や顎の異常摩耗や痛み、顎関節症などを引き起こす可能性があります。
治療を受けずに放置すると、顎関節症や咀嚼機能、発音機能の低下などを引き起こすリスクを高めてしまいます。
反対咬合は、下顎が固定されているために上手く動かすことができず、食事や会話の際に顎に負担がかかってしまうのです。
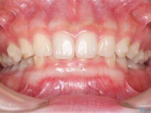
過蓋咬合

過蓋咬合は、上顎の前歯が下顎の前歯をほとんど覆り、噛み合わせが深くなってしまう状態のことを指します。また、この咬合は下顎の成長を制限し、下顎が前方に発育しない可能性があります。これにより、顎が小さく見えることがあります。
治療を受けずに放置すると、上顎の歯列によって下顎が押されてしまい、顎に負担がかかります。そのため、顎関節症や咀嚼機能の低下、歯の摩耗などのリスクを高めてしまいます。
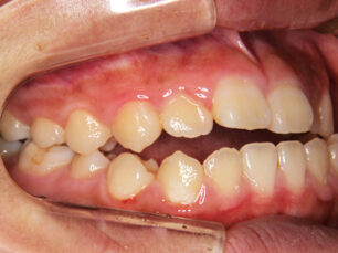
開咬

開咬は、歯列が上下に広がり、前歯が噛み合わず、口が開いた状態になる状態のことを指します。子どもの頃の指しゃぶりや口呼吸が原因となることがあります。
治療を受けずに放置すると、口が開いた状態が続いてしまうため、口腔内の乾燥や唾液の分泌不足につながり、口臭や虫歯、歯周病のリスクが高くなる可能性があります。さらに、開咬が長期間継続すると、顎関節の問題や顔面の形態にも影響を与えることがあります。
交叉咬合

通常下の歯は上の歯の内側に来る歯並びが正常です。交叉咬合は、下の歯が外側に来てしまっている歯が存在している状態のことを指します。
治療を受けずに放置すると、上下の歯の噛み合わせが正しく合わないため、噛む力が均等に分散されず、歯や歯茎に過剰な力が加わります。そのため、歯の磨耗や歯茎の炎症、歯周病などが引き起こされる可能性があります。また、交叉咬合によって顎の成長が妨げられ、顎や顔面の形態にも影響を与えることがあり、顎関節症や咀嚼機能、発音機能低下のリスクを高めます。
空隙歯列

空隙歯列は歯と歯の間に隙間ができてしまっている状態のことを指します。
空隙歯列は、生まれつきの形態的な問題や、乳歯が抜ける時期に早期に対処しなかった場合に後天的に発生することがあります。
治療を受けずに放置すると、 歯と歯の隙間に食べ物が詰まり、虫歯や歯周病などを引き起こすリスクを高めてしまいます。また、歯と歯の隙間から空気が抜けてしまうことで発音機能を低下させてしまう可能性があります。
叢生

叢生とは、デコボコな歯並びで歯が互いに重なってしまっているような状態のことを言います。噛み合わせの問題や口腔内の清掃が困難になるため、歯の磨耗や歯周病、虫歯などを引き起こす可能性があります。また、顎や顔面の形態にも影響を与えることがあります。生まれつきの形態的な問題や、乳歯が抜ける時期に早期に対処しなかった場合に後天的に発生することがあります。